Blogue
Gencives noires, gencives bleues ou gencives grises : tout s’explique
La couleur des gencives peut varier naturellement d’une personne à l’autre. Cependant, si vous notez un changement de couleur grisâtre, une tache noire, une bosse bleutée ou tout autre changement de couleur, cela peut soulever certaines préoccupations surtout si ces changements sont accompagnés de douleur.
Étudions les causes possibles et voyons s’il est nécessaire de consulter pour chacune.
Gencives foncées : quelles peuvent être les causes?
1. Les infections et maladies gingivales.- La gingivite ulcéro-nécrosante aigue et la parodontite nécrosante peuvent provoquer l’apparition de zones foncées grises ou noires entre les dents accompagnées de douleur, de mauvaise haleine et de saignements.
- Il est essentiel de consulter car un dentiste doit diagnostiquer cette maladie, évaluer l’importance de l’inflammation et la sévérité de l’infection et possiblement prescrire des antibiotiques et des anti-inflammatoires.
- Un examen et traitement parodontal complet pourrait aussi être requis comme des surfaçages ou des curettages une fois l’infection aigue ou la douleur aigue sous contrôle.
2. Une greffe gingivale
Si la couleur de la greffe de gencive est gris pâle ver le blanchâtre, rosâtre ou rougeâtre c’est souvent un succès. Par contre, si elle est grise foncée, bleutée ou noirâtre, cela peut indiquer que le tissus ne reçoit pas suffisamment de sang ou qu’il ne s’intègre pas correctement à la gencive. Une consultation est recommandée pour évaluer l’état du greffon.
3. Un tatouage d’amalgame
Il arrive qu’une petite tache grisâtre ou noire apparaisse sur la gencive après une obturation dentaire en amalgame (plombage argenté). Elle se forme lorsque de minuscules particules de ce matériau se déposent dans le tissus gingival. Cette pigmentation est généralement bénigne et stable dans le temps.
4. Un naevus
C’est comme un petit grain de beauté brun, noir ou bleu. Tant qu’il ne change pas de couleur, de taille ou de forme, il reste bénin. C’est pourquoi il est prudent de les faire vérifier à l’occasion par un dentiste.
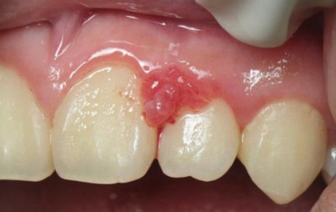
5. Varicosités
Ce sont de petites taches, plaques, macules et parfois des papules qui peuvent blanchir lorsqu’on les compresse. Elles sont de petites lésions d’origine vasculaires qui résultent souvent de traumatisme ou apparaissent simplement à cause de l’âge. Un dentiste pourra confirmer qu’il s’agit bien d’une lésion bénigne et en cas de doute une biopsie pourra le confirmer.
6. Tabagisme
La nicotine stimule gencive à produire plus de mélanine. Avec le temps, cette habitude pose non-seulement un risque accru de cancer buccal, mais provoque fréquemment un changement de coloration de tous les tissus buccaux. Le plus souvent, ils prendront une teinte brunâtre et certaines zones, comme la langue, peuvent devenir noires.
Il est prudent de consulter régulièrement afin de faire vérifier tout changement inhabituel de couleur (brune, bleue ou noire) ou toute lésion rouge et blanche qui apparaît en bouche sans explications et qui persiste 14 jours ou plus.
7. Pigmentation naturelle
Chez certaines personnes, les gencives peuvent être naturellement plus foncées. Cette coloration est due à une grande quantité de mélanine, le pigment qui donne sa couleur à la peau, aux cheveux et aux gencives. Il s’agit d’une variation tout à fait normale et sans danger pour la santé.
Besoin de plus d’informations sur la santé de vos gencives? Prenez rendez-vous avec notre équipe pour recevoir des recommandations et des solutions adaptées à vos besoins.
Retour à la liste
